"*" indicates required fields
Braces Before and After Pictures in Virginia Beach, VA
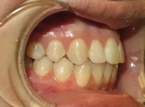
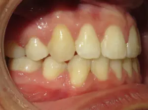
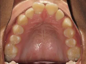
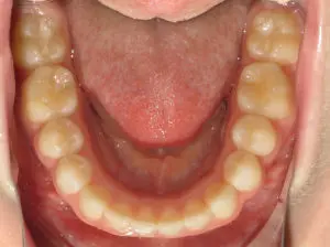
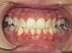
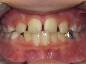
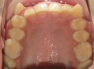
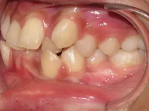
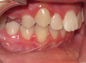
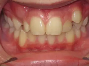
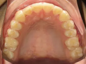
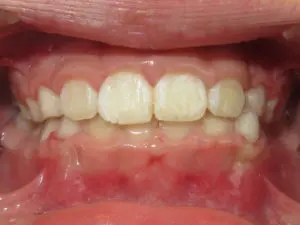
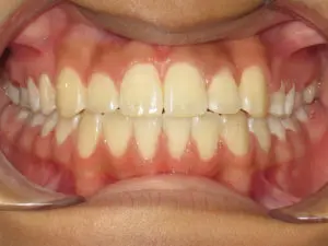
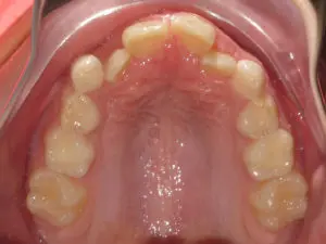
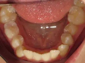
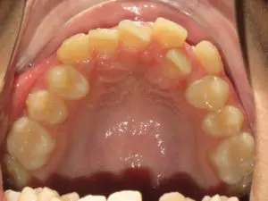
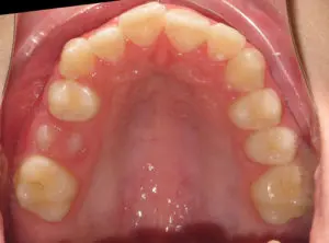
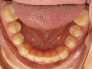
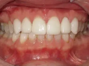
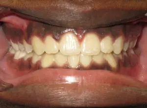
With braces, people can have a bright smile and renewed self-confidence. Drs. Savage, Sabol & Visser provide braces to children, teens, and adults living in and around Virginia Beach, Norfolk, Chesapeake, and Virginia’s eastern shore to correct teeth and jaw alignment and improve their appearance. Our patients can start treatment for as little as $99 with low monthly payments. Please take a few minutes to look through our Braces Smile Gallery to see the outcome of patients treated with braces.
Filter:
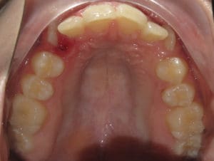
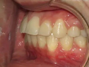
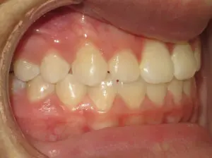
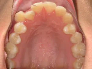
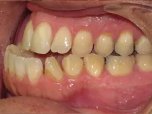
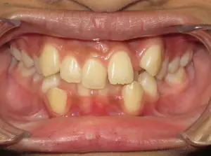
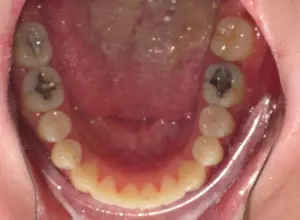
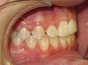
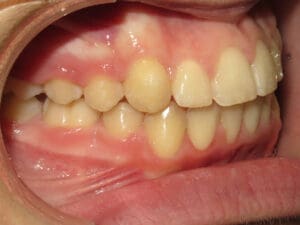
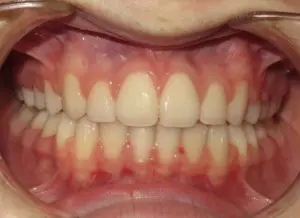
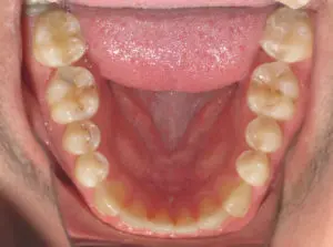
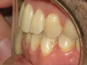
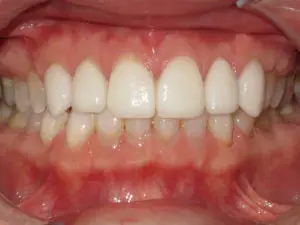
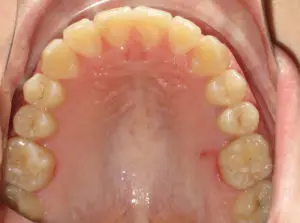
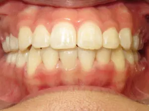
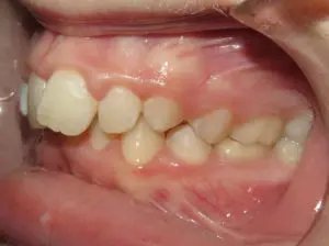
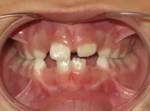
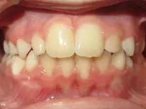
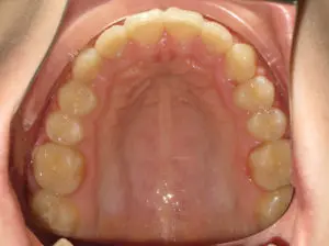
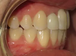
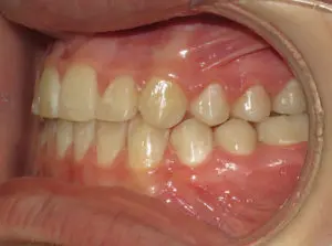
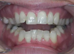
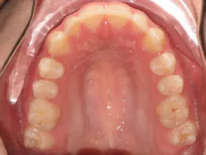
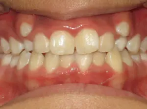
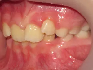
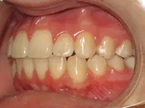
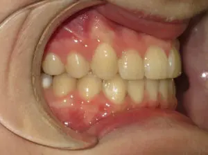
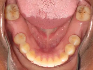
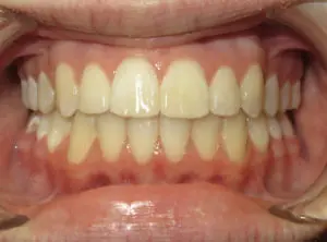
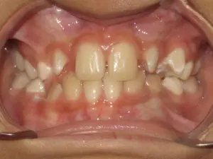
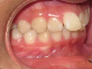
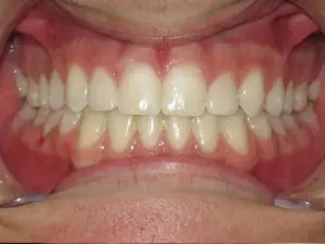
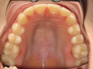
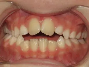
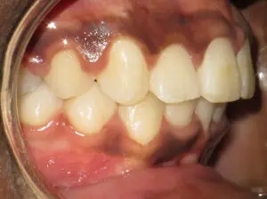
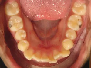
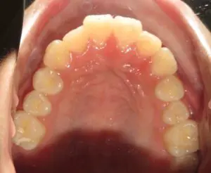
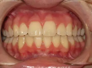
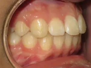
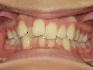
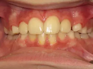
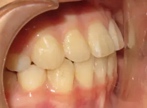
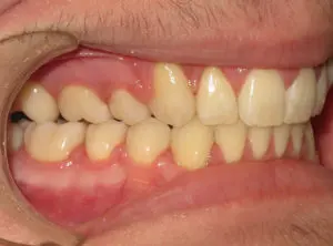
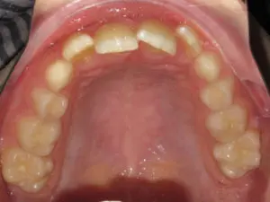
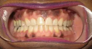
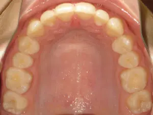
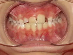
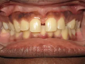
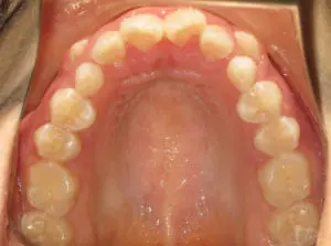
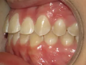
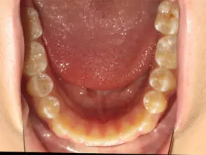
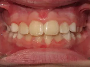
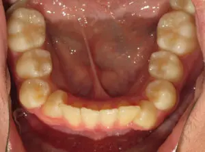
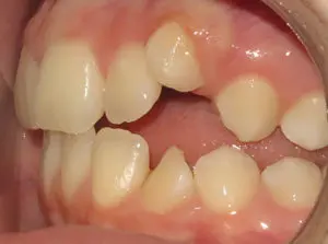
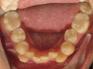
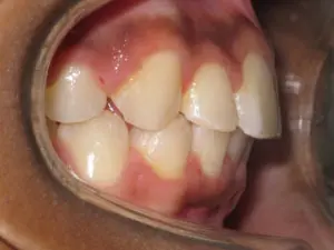
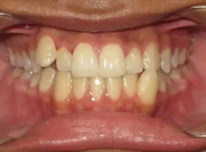
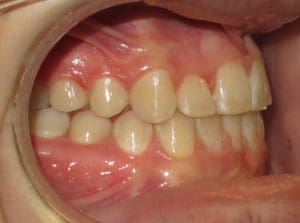
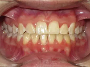
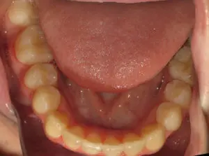
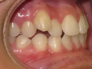
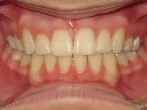
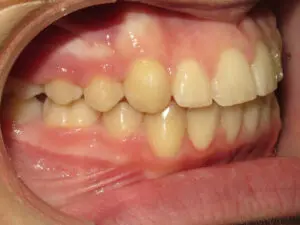
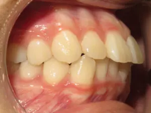
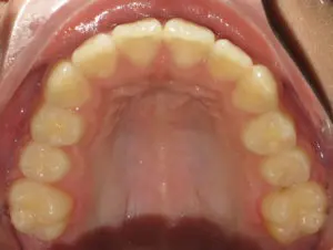
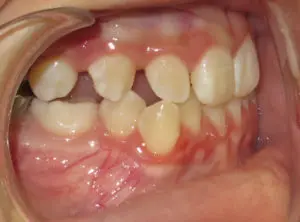
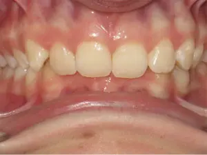
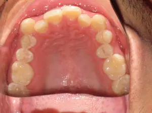
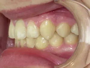
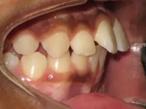
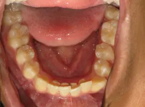
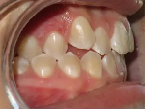
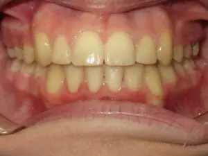
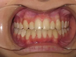
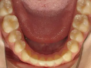
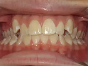
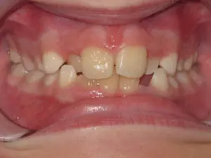
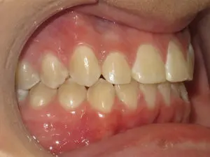
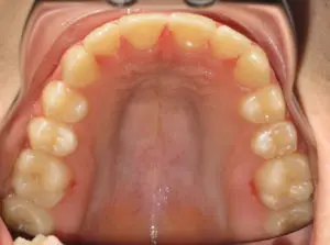
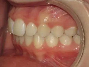
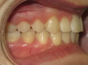
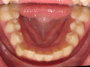
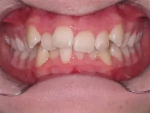
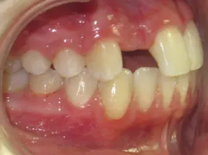
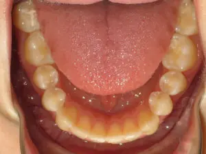
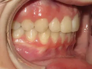
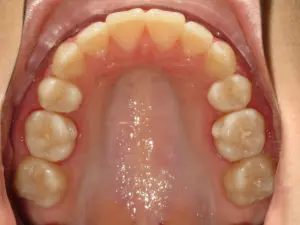
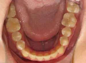
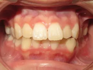
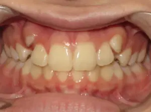
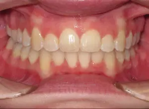
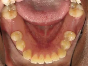
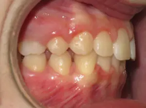
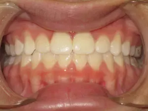
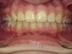
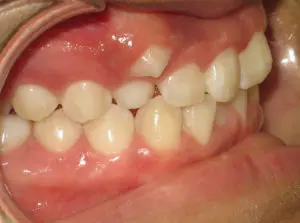
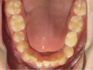
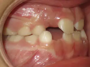
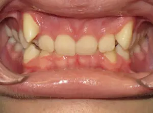
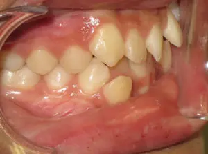
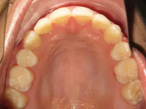
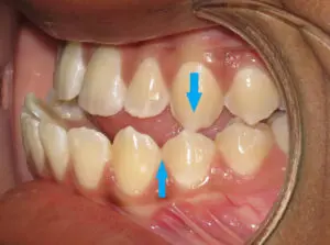
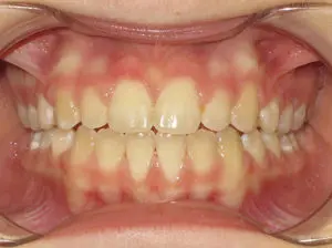
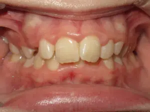
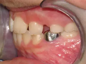
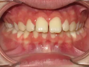
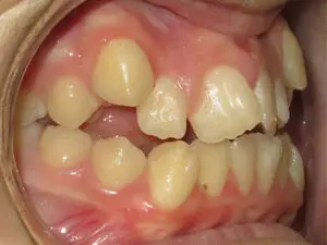
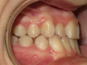
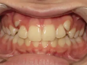
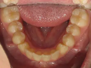
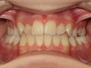
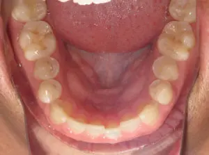
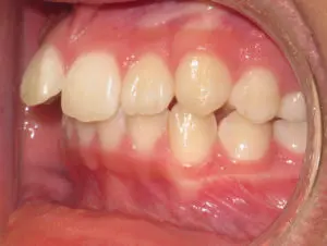
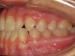
BRACES: Case 2
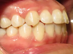
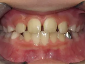
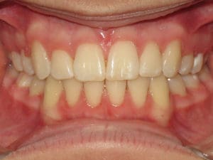
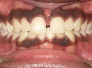
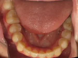
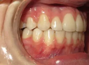
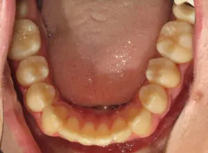
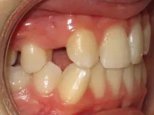
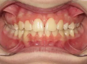
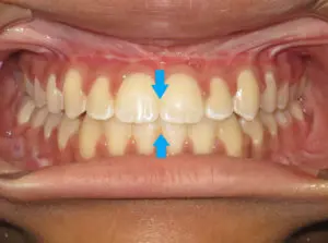
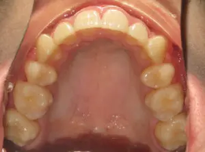
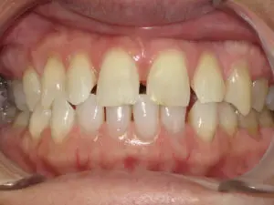
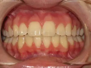
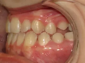
BRACES: Case 3
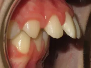
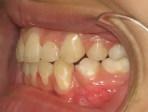
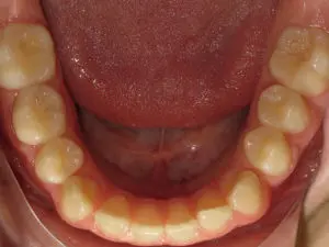
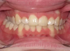
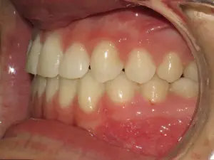
BRACES: Case 5
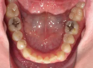
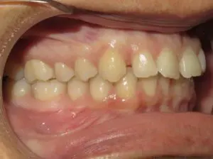
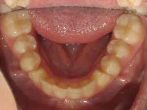
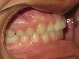
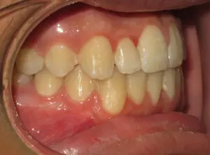
BRACES: Case 6
BRACES: Case 9
BRACES: CASE 14
BRACES: CASE 15
BRACES: CASE 24
BRACES: CASE 28
BRACES: CASE 34
BRACES: CASE 35
BRACES: CASE 40
BRACES: CASE 49
If you are concerned about whether you or your child needs braces, Drs. Savage, Sabol & Visser evaluate the smiles of children, teens, and adults living in Virginia Beach, Norfolk, Chesapeake, and Virginia’s eastern shore to determine if they are candidates for braces. Our patients can start treatment for as little as $99 with low monthly payments. Contact us today to schedule a complimentary consultation at one of our offices.
New patient? Check out our new patient portal for important information about your first appointment, downloadable forms, and answers to frequently asked questions.




