"*" indicates required fields
Invisalign Before and After Pictures in Virginia Beach, VA
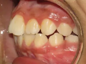
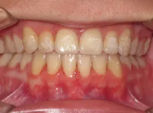
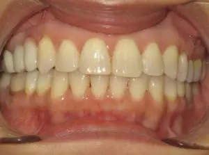
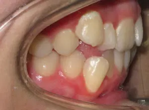
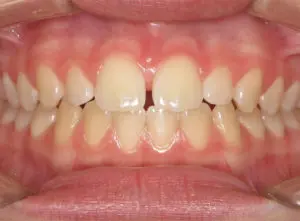
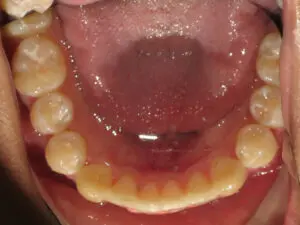
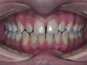
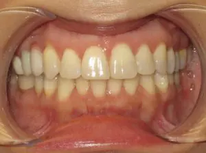
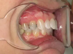
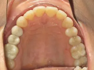
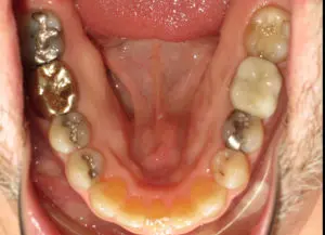
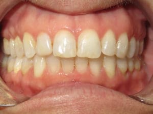
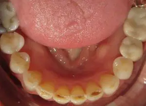
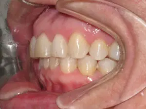
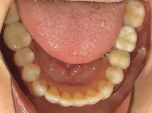
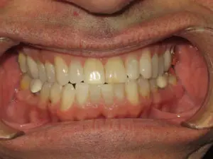
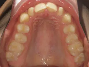
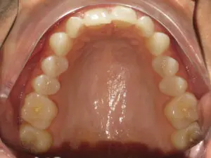
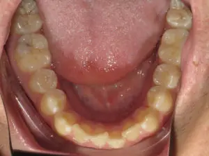
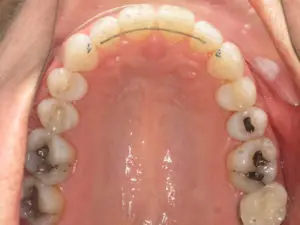
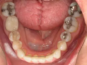
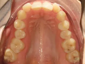
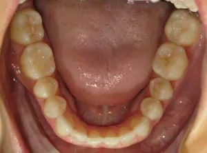
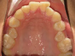
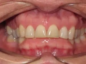
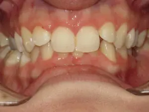
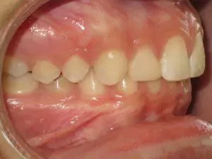
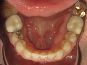
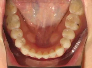
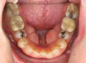
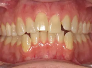
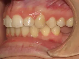
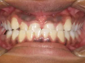
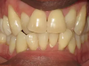
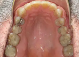
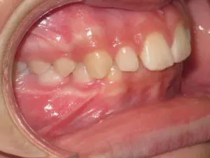
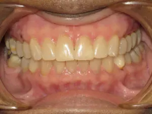
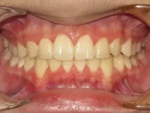
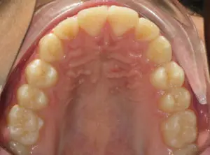
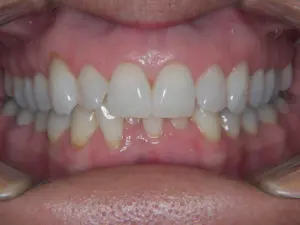
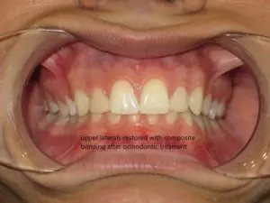
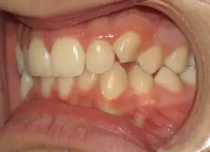
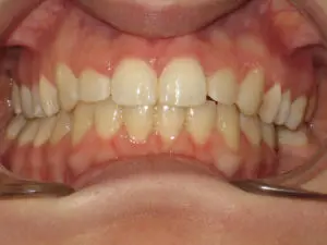
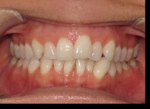
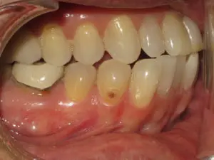
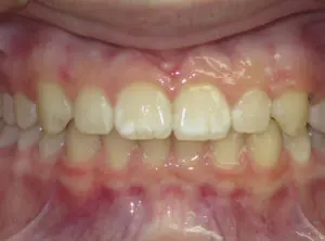
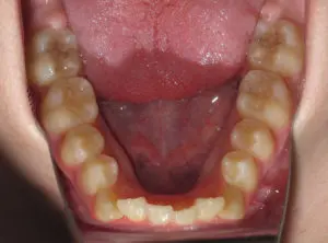
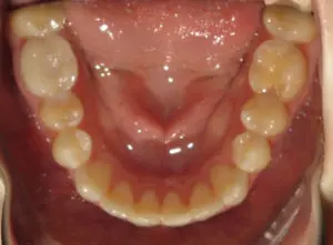
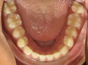
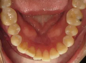
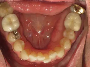
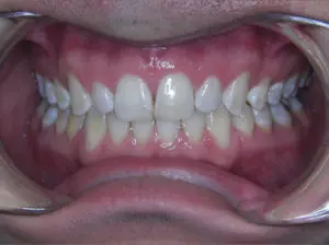
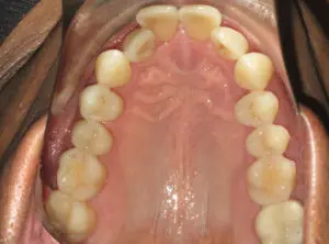
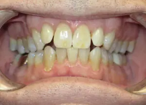
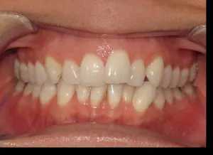
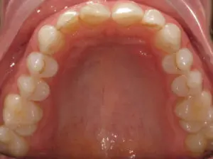
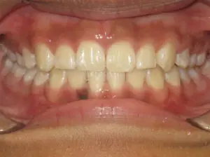
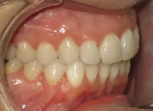
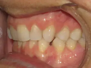
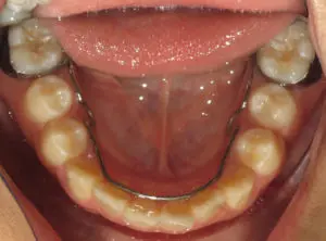
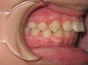
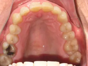
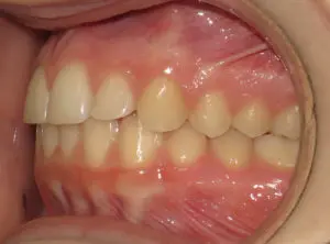
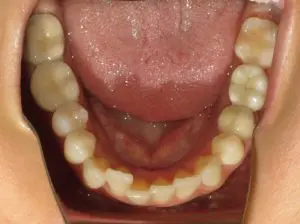
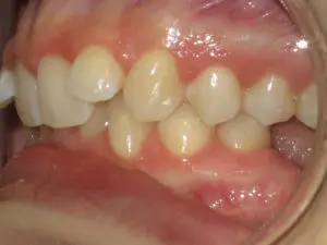
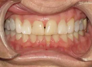
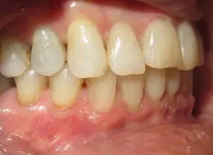
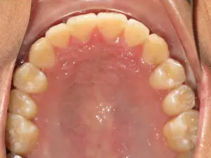
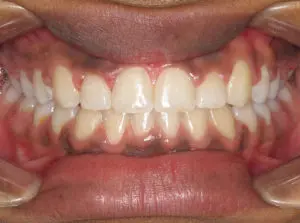
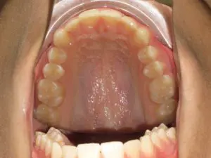
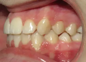
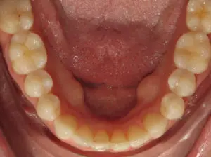
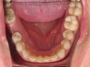
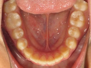
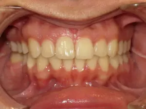
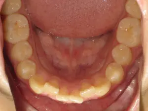
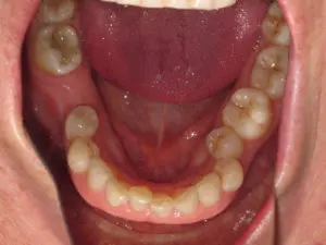
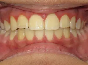
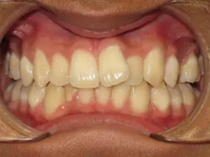
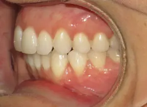
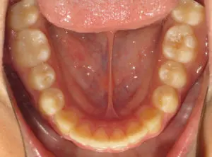
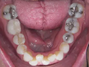
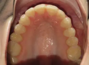
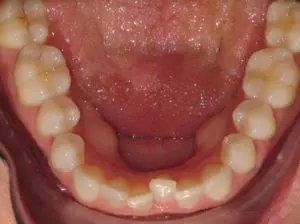
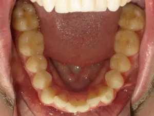
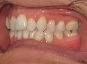
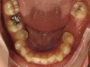
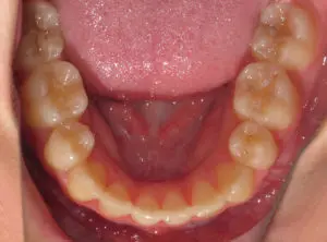
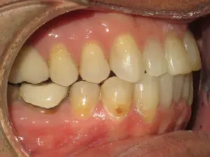
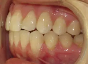
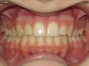
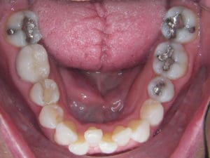
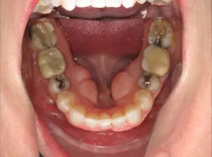
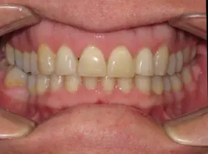
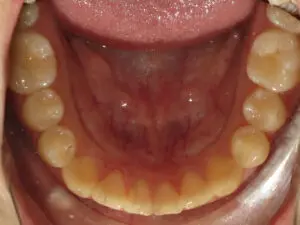
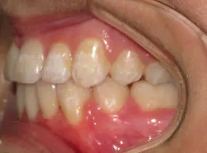
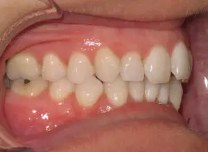
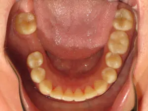
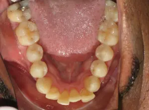
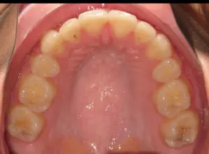
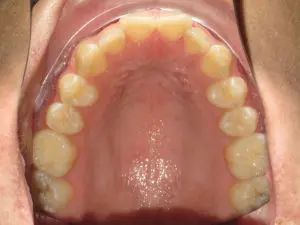
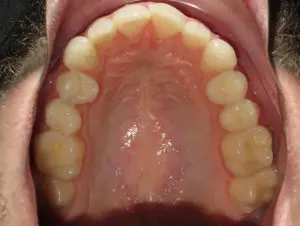
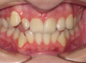
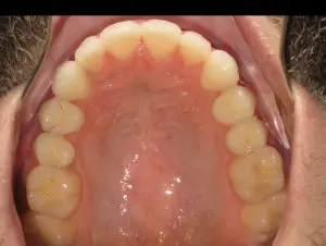
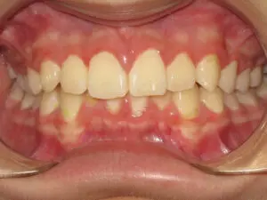
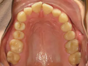
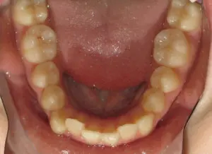
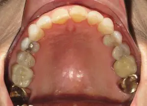
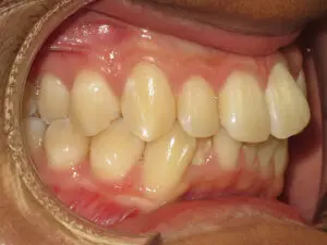
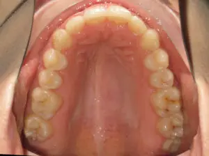
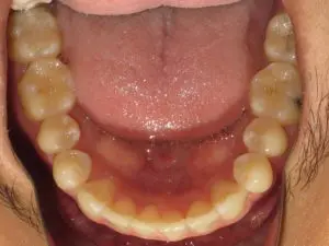
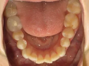
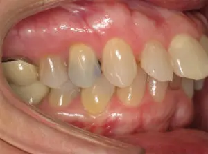
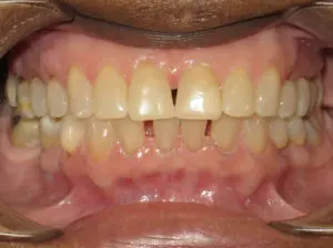
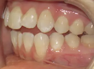
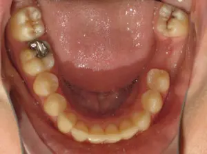
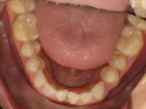
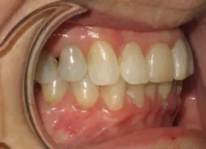
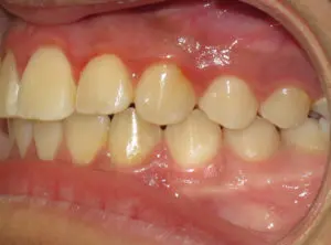
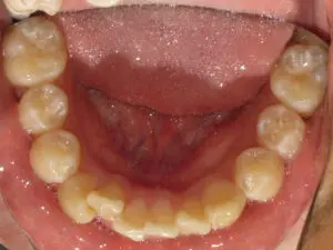
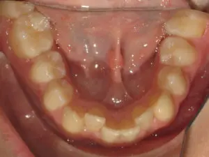
Invisalign® provides an inconspicuous way to straighten crooked teeth without wearing metal braces. Drs. Savage, Sabol & Visser showcase the results of some of their patients living in Virginia Beach, Norfolk, Chesapeake, and Virginia’s eastern shore, as well as neighboring communities, who corrected their smile with clear aligners. Our patients can start treatment for as little as $99 with low monthly payments.
Filter:
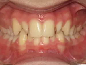
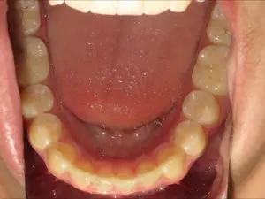
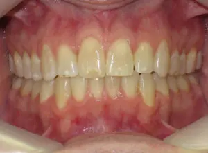
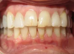
INVISALIGN: Case 1
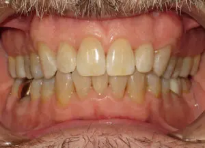
INVISALIGN: Case 3
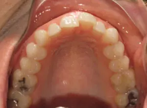
INVISALIGN: CASE 11
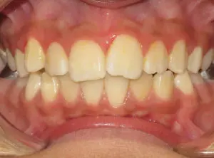
INVISALIGN: CASE 14
INVISALIGN: CASE 20
INVISALIGN: CASE 21
INVISALIGN: CASE 25
Have you considered Invisalign® clear aligners to straighten your teeth? If you live in or around Virginia Beach, Norfolk, Chesapeake, or Virginia’s eastern shore, contact Drs. Savage, Sabol & Visser to schedule your free consultation today. Our patients can start treatment for as little as $99 with low monthly payments.
New patient? Check out our new patient portal for important information about your first appointment, downloadable forms, and answers to frequently asked questions.




