Surgery Before and After Pictures Gallery Virginia Beach, VA
Home » Surgery Before and After Pictures in Virginia Beach, VA

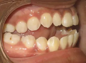
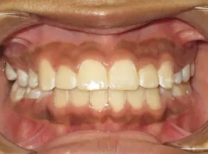
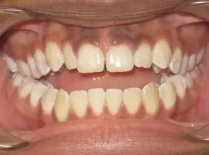
Surgery Before and After Pictures in Virginia Beach, VA

Filter:

Secret Link